
甚麼是鼻竇炎?

鼻竇分佈於鼻及眼睛周圍,是位於顱骨內部的空腔構造,鼻竇內的粘膜有助將空氣中的塵埃和廢物吸住及排出,亦可調節吸入空氣的溫度和濕度。 鼻竇可再細分為四對鼻竇,分別名為額竇 (frontal sinus)、上頜竇 (maxillary sinus)、篩竇 (ethmoid sinus) 和蝶竇 (sphenoid sinus),任何一個位置發炎亦可稱作鼻竇炎,大多由鼻腔及鼻竇內黏膜壁受感染引起炎症。
鼻竇炎有甚麼成因?
鼻竇炎成因繁多,一般是因鼻竇內黏膜受刺激而出現炎症或腫脹,阻礙鼻腔黏液排出鼻孔,並使黏液滯留在鼻竇內,導致細菌在鼻竇中繁殖,造成鼻竇炎。
鼻竇炎的成因如下:
• 過敏
• 傷風、感冒或鼻敏感
• 鼻中隔彎曲
• 鼻瘜肉
• 化學物質的刺激
• 上頜蛀牙
鼻竇炎有甚麼症狀?
鼻竇炎的常見症狀如下:

鼻竇炎怎樣檢查?
鼻竇炎可細分為急性鼻竇炎或慢性鼻竇炎,約有三成的急性鼻竇炎患者會自行痊癒,九成以上的急性鼻竇炎在治療後會痊癒,然而有部分的鼻竇炎會變成慢性鼻竇炎,甚至引發嚴重的併發症如腦膜炎、喪失嗅覺或視力受損等。 要避免鼻竇炎演變為慢性鼻竇炎,一旦出現以上症狀或有任何懷疑,就應尋求醫生諮詢,作進一步檢查和治療。鼻竇炎的檢查方法如下:
鼻咽喉內視鏡檢查
可以安排在診所透過局部麻醉進行內視鏡的檢查,只需幾分鐘便可得知鼻竇內的情況,過程中只會帶來輕微不適。

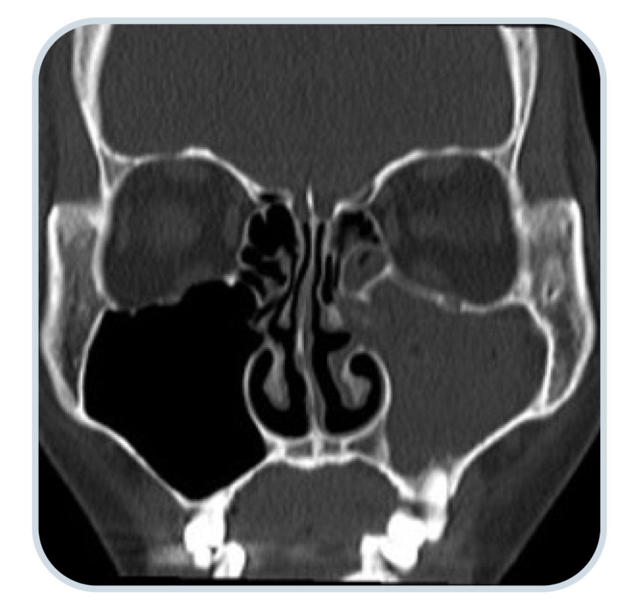
鼻竇電腦掃描
觀察鼻竇內的積液狀況以及鼻腔結構是否正常,並可藉此得知鼻竇內是否有鼻瘜肉、黏液分泌程度和發炎情況等細節。

如何治療鼻竇炎?
治療鼻竇炎的目標是減緩鼻竇黏膜發炎及腫脹 (減低不適)、改善鼻竇與鼻腔、鼻咽之間通道的流暢性 (暢通呼吸)、治療病原體的感染、避免鼻竇炎所引起的併發症。要解決以上的目標,通常會利用藥物治療或在嚴重時配合手術等方式。

常見問題
Q:如果需要做手術,鼻的外觀會有影響嗎?
A:以上提及的手術都是通過內視鏡的監察,經由鼻孔在鼻腔內進行手術,故此臉上及鼻子外面均不會有傷口或留下疤痕,也不會改變鼻子的外觀。
Q:手術需全身麻醉嗎?
A:大部分手術都需要全身麻醉,以保障病人舒適及安全。如有部分病人因其他身體機能無法全身麻醉,亦可以局部麻醉進行。
Q:手術需時多久?需要住院多少天?
A:功能性鼻竇內視鏡手術 (Functional endoscopic sinus surgery, FESS) 需時約1.5 – 2小時,鼻中隔矯形手術 (Septoplasty) 及鼻甲切除手術 (Turbinectomy) 需時約45分鐘 – 1小時。住院方面,一般需要住院 2 – 3天。
Q:手術後會有什麼併發症?
A:手術後可能會有輕微的痛楚,亦有可能出現輕微出血的情況,手術後約數天至一星期便康復。
關於iMeddy 線上醫療平台
iMeddy為香港領先的線上醫療平台,為用戶本地最新醫療及醫生資訊,並提供線上預約、視像問診、健康商城、智能醫生配對等功能。